ringkasan
- UpSkill TB adalah platform digital yang mengatasi tantangan penanganan Tuberkulosis resisten obat (TB RO) di Indonesia dengan meningkatkan kapasitas tenaga kesehatan.
- Platform ini memfasilitasi implementasi paduan pengobatan BPaL/M yang lebih efektif, mempersingkat durasi, dan meningkatkan tingkat kesembuhan pasien TB RO.
- Inovasi ini didukung penuh oleh Kementerian Kesehatan dan para ahli sebagai langkah strategis untuk mencapai eliminasi TB di Indonesia pada tahun 2030.
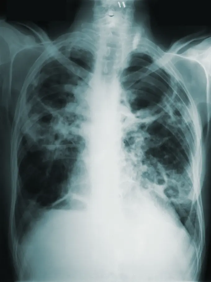
Fimela.com, Jakarta Sahabat Fimela, tahukah Anda bahwa Tuberkulosis (TB) masih menjadi ancaman serius di Indonesia? Negara kita menduduki peringkat kedua secara global untuk beban kasus TB tertinggi, dengan estimasi jutaan kasus baru setiap tahunnya.
Angka kematian akibat TB juga memprihatinkan, mencapai sekitar 14 kematian setiap jam pada tahun 2024. Kondisi ini menuntut inovasi dan solusi cepat untuk mempercepat penanganan penyakit menular ini di seluruh pelosok negeri.
Menjawab tantangan tersebut, Yayasan Riset dan Pelatihan Respirasi Indonesia (RPRI) meluncurkan UpSkill TB. Ini adalah sebuah inovasi digital penanganan Tuberkulosis yang berfokus pada peningkatan kapasitas tenaga kesehatan.
Tantangan Berat Penanganan Tuberkulosis di Indonesia
Penanganan TB di Indonesia menghadapi berbagai kendala kompleks yang menghambat upaya eliminasi pada tahun 2030. Salah satu masalah utama adalah deteksi dini yang rendah dan kesenjangan penemuan kasus, di mana banyak kasus TB belum terdiagnosis karena keterbatasan akses layanan kesehatan.
Selain itu, ketidakpatuhan pasien dalam menyelesaikan pengobatan menjadi isu krusial. Durasi pengobatan TB yang panjang, terutama untuk TB resisten obat (TB RO), seringkali membuat pasien putus berobat, meningkatkan risiko resistensi obat yang lebih sulit ditangani.
Indonesia juga dihadapkan pada tantangan besar dalam penanggulangan TB Resisten Obat (TB RO). Keterbatasan sumber daya, infrastruktur, dan kesenjangan pelatihan tenaga kesehatan dalam menerapkan paduan pengobatan baru menjadi penghalang signifikan. Stigma sosial dan beban ekonomi juga memperburuk kondisi pasien.
UpSkill TB: Inovasi Digital Penanganan Tuberkulosis yang Efektif
Menjawab berbagai tantangan tersebut, UpSkill TB hadir sebagai inovasi digital penanganan Tuberkulosis yang strategis. Platform ini dirancang untuk mempercepat implementasi pengobatan TB resisten obat (TB RO) dengan paduan BPaL/M di seluruh Indonesia.
Platform ini bertujuan mendorong pengobatan yang lebih efektif dengan mengatasi kesenjangan akses pelatihan tenaga kesehatan. Wakil Menteri Kesehatan (Wamenkes) Dante Saksono Harbuwuno menyebut platform ini sebagai inovasi penting untuk memperkenalkan regimen baru pengobatan TB RO.
Keberhasilan terapi TB resisten obat sangat bergantung pada peran tenaga kesehatan dalam mendampingi pasien. Oleh karena itu, UpSkill TB fokus pada peningkatan kapasitas dan kemampuan medis, yang krusial untuk keberhasilan pengobatan.
Wamenkes Dante juga menyoroti transformasi sistem pelatihan yang kini mengikuti perkembangan zaman, dengan pendekatan hybrid yang lebih efisien dari sisi biaya dan aksesibilitas dibandingkan pelatihan tatap muka konvensional.
Keunggulan Regimen BPaL/M yang Didukung UpSkill TB
UpSkill TB secara spesifik mendukung penanganan TB RO melalui fokus pada regimen BPaL/M. Platform ini memfasilitasi pelatihan mengenai paduan pengobatan yang direkomendasikan oleh Organisasi Kesehatan Dunia (WHO) sejak Desember 2022 dan diimplementasikan luas di Indonesia sejak Agustus 2023.
Paduan BPaL/M merupakan terobosan penting karena memangkas durasi pengobatan TB RO secara signifikan. Pengobatan kini hanya enam bulan, tanpa suntikan, dengan jumlah pil yang lebih sedikit, dan tingkat kesembuhan yang lebih tinggi, bahkan mencapai 90 persen secara global.
Regimen ini juga menawarkan efek samping yang lebih ringan dan biaya yang jauh lebih efisien. Jika regimen lama bisa mencapai Rp120 juta dan memakan waktu hingga 18-24 bulan, BPaL/M hanya sekitar Rp9 juta jika pasien patuh berobat.
Direktur RPRI Prof. Dr. dr. Erlina Burhan menjelaskan bahwa UpSkill TB diluncurkan agar tidak ada pasien yang tertinggal dari akses pengobatan terbaik. Ini penting mengingat implementasi paduan BPaL/M belum merata dan pelatihan tenaga kesehatan masih terbatas.
“Selama bertahun-tahun, pasien TB resisten obat harus menjalani pengobatan panjang dengan banyakobat dan efek samping yang berat, sehingga banyak yang akhirnya putus berobat. Paduan baru BPaL/Mmenjadi titik balik: hanya enam bulan, tanpa suntikan, dengan tingkat kesembuhan lebih tinggi. Namun,implementasinya belum merata dan pelatihan tenaga kesehatan masih terbatas. Karena itu, kamimeluncurkan Upskill TB sebagai solusi, agar tidak ada pasien yang tertinggal dari akses pengobatanterbaik,” jelas Prof. Dr. dr. Erlina Burhan, MSc, SpP(K), Direktur RPRI.
Dukungan dan Harapan untuk UpSkill TB
Para ahli menyambut baik kehadiran UpSkill TB sebagai langkah maju dalam penanganan TB di Indonesia. Wakil Menteri Kesehatan Dante Saksono Harbuwuno menegaskan bahwa inovasi seperti UpSkill TB sejalan dengan transformasi kesehatan nasional dan diharapkan memberikan hasil terbaik bagi masyarakat.
Beliau juga menekankan pentingnya inovasi, komitmen, dan kolaborasi lintas sektor sebagai jalan menuju peningkatan angka kesembuhan pasien TB di Indonesia. Ketua Tim Kerja Tuberkulosis Kemenkes, Triya Novita Dinihari, mengakui bahwa perjalanan Indonesia dalam program penanganan TB resisten obat tidaklah mudah.
Dengan adanya UpSkill TB, diharapkan kapasitas tenaga kesehatan dapat ditingkatkan untuk mendiagnosis, mengobati, dan mendampingi pasien TB RO secara efektif. Prof. Dr. dr. Erlina Burhan, Direktur RPRI, menyoroti bahwa UpSkill TB adalah solusi krusial untuk mengatasi keterbatasan pelatihan tenaga kesehatan.
Secara keseluruhan, UpSkill TB diharapkan dapat memastikan bahwa paduan BPaL/M yang revolusioner dapat diimplementasikan secara luas. Dengan demikian, Indonesia dapat mempercepat upaya penanggulangan TB dan mencapai target eliminasi TB pada tahun 2030.
Follow Official WhatsApp Channel Fimela.com untuk mendapatkan artikel-artikel terkini di sini.

:strip_icc():format(webp)/kly-media-production/medias/4674938/original/078309300_1701771171-cdc-4U6qzwNu-Ns-unsplash.jpg)

:strip_icc():format(jpeg)/kly-media-production/medias/3402623/original/014479700_1615884105-hypertension-867855_1920.jpg)
:strip_icc():format(jpeg)/kly-media-production/medias/5449592/original/040578000_1766076175-tired-aching-female-feet-after-walking.jpg)
:strip_icc():format(jpeg)/kly-media-production/medias/5309491/original/034441600_1754628815-people-sport-relaxation-concept-relaxed-fitness-woman-with-perfect-figure-sits-exercise-mat-keeps-eyes-closed.jpg)
:strip_icc():format(jpeg)/kly-media-production/medias/5415172/original/077346300_1763362847-upset-gloomy-woman-wants-eat-sweets-confectionery-poses-table-served-with-many-desserts-keeps-diet-avoids-junk-food-feels-temptation.jpg)
:strip_icc():format(jpeg)/kly-media-production/medias/5386901/original/092564600_1761026216-IMG-20251021-WA0005_1_.jpg)
:strip_icc():format(jpeg)/kly-media-production/medias/5447805/original/015231000_1765964722-pexels-arina-krasnikova-6663450.jpg)
:strip_icc():format(jpeg)/kly-media-production/medias/4927476/original/086438500_1724590220-woman-wearing-protective-face-mask.jpg)
:strip_icc():format(jpeg)/kly-media-production/medias/5393151/original/045077400_1761544110-IMG-20251027-WA0016.jpg)
:strip_icc():format(jpeg)/kly-media-production/medias/5447545/original/030567600_1765958477-pexels-kindelmedia-7298633.jpg)
:strip_icc():format(jpeg)/kly-media-production/medias/5471612/original/010430100_1768290745-little-girl-vaccinating-coronavirus-hospital.jpg)
:strip_icc():format(jpeg)/kly-media-production/medias/4809046/original/093234900_1713777153-sad-tired-asian-girl-looking-disappointed-laptop-screen-bored-studying-watching-something.jpg)
:strip_icc():format(jpeg)/kly-media-production/medias/5458847/original/027980900_1767094266-pexels-edward-jenner-4031632.jpg)
:strip_icc():format(jpeg)/kly-media-production/medias/5337012/original/068845400_1756883976-WhatsApp_Image_2025-09-03_at_13.56.56_68ad4562.jpg)
:strip_icc():format(jpeg)/kly-media-production/medias/4911511/original/007597100_1723006808-medium-shot-asian-man-shouting-his-wife-holding-piece-paper.jpg)
:strip_icc():format(jpeg)/kly-media-production/medias/4875110/original/018653800_1719377744-IMG_2886.jpeg)
:strip_icc():format(jpeg)/kly-media-production/medias/5470542/original/056943600_1768209856-ssd.jpg)
:strip_icc():format(jpeg)/kly-media-production/medias/5369702/original/048157300_1759478049-boiled-eggs-bowl-decorated-with-parsley-leaves-3.jpg)
:strip_icc():format(jpeg)/kly-media-production/medias/4669278/original/055064500_1701336341-pexels-leon-ardho-1552242.jpg)
:strip_icc():format(jpeg)/kly-media-production/medias/4713266/original/059609800_1704973952-Pola_Hidup_Sehat_sumber_Freepik.jpg)
:strip_icc():format(jpeg)/kly-media-production/medias/5441618/original/042512000_1765513287-back-fitness-woman-rear-view-sportswoman-stretching-arms-wearing-blue-sportsbra-leggings-workout-activewear-standing-white-background.jpg)










:strip_icc():format(jpeg)/kly-media-production/medias/4632539/original/094850100_1698893027-immunity-boosting-foods-healthy-life.jpg)
:strip_icc():format(jpeg)/kly-media-production/medias/5377443/original/066150000_1760095091-breast-cancer-awareness-woman-pink-t-shirt-with-satin-pink-ribbon-her-chest-supporting-symbolbreast-cancer-awareness-2.jpg)
:strip_icc():format(jpeg)/kly-media-production/medias/3237281/original/041852100_1600068948-pexels-pixabay-158053.jpg)
:strip_icc():format(jpeg)/kly-media-production/medias/5366253/original/086624200_1759221505-sarapan_1.jpg)
:strip_icc():format(jpeg)/kly-media-production/medias/5386608/original/005986400_1761018464-IMG_9385_1_.jpeg)
:strip_icc():format(jpeg)/kly-media-production/medias/3242692/original/062475100_1600495293-WhatsApp_Image_2020-09-18_at_6.57.08_PM.jpeg)
:strip_icc():format(jpeg)/kly-media-production/medias/5316372/original/058034700_1755233803-andrew-tanglao-3I2vzcmEpLU-unsplash.jpg)
:strip_icc():format(jpeg)/kly-media-production/medias/4620950/original/039726600_1698055340-national-cancer-institute-0izFVmwJ5pw-unsplash.jpg)
:strip_icc():format(jpeg)/kly-media-production/medias/3634436/original/073515200_1637057381-photo-1544825470-60e99eef8a70.jpg)
:strip_icc():format(jpeg)/kly-media-production/medias/5344283/original/035258300_1757482918-pexels-nipananlifestyle-com-625927-1581484.jpg)
:strip_icc():format(jpeg)/kly-media-production/medias/5356815/original/004943300_1758510328-mimisan_1.jpg)
:strip_icc():format(jpeg)/kly-media-production/medias/4473044/original/064557600_1687224414-perfect-smile-with-white-teeth-closeup.jpg)
:strip_icc():format(jpeg)/kly-media-production/medias/5380526/original/066098700_1760426241-pexels-olly-3811663.jpg)
:strip_icc():format(jpeg)/kly-media-production/medias/5369634/original/057689200_1759475847-pexels-cottonbro-6542722.jpg)
:strip_icc():format(jpeg)/kly-media-production/medias/4919784/original/028445200_1723783285-side-view-tea-with-ginger-slices-honey-sack-cloth-dark-wooden-background-horizontal.jpg)
:strip_icc():format(jpeg)/kly-media-production/medias/3796220/original/067383300_1640572604-pexels-photo-5269483.jpeg)
:strip_icc():format(jpeg)/kly-media-production/medias/5033272/original/015029000_1733205936-Olahraga_Ala_Gen_Z__6_Tips_Jogging_Malam_agar_Tetap_Bugar__3.jpg)
:strip_icc():format(jpeg)/kly-media-production/medias/5209845/original/013512200_1746447077-ChatGPT_Image_May_5__2025__07_10_23_PM.jpg)
:strip_icc():format(jpeg)/kly-media-production/medias/5131935/original/083422000_1739432264-pexels-olly-3771069.jpg)
:strip_icc():format(jpeg)/kly-media-production/medias/5402522/original/010640300_1762249762-FA304E8E-C219-4373-85BD-375BB0A66E9C-58172-000007CFB6C46580.jpg)